Transformação com propósito: restaurando sorriso, função e gengiva
- Desafios estéticos após ortodontia
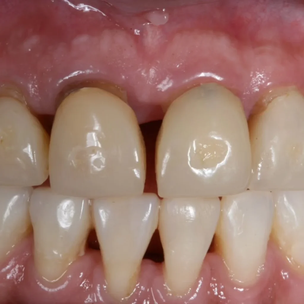
- Retração gengival e espaçamento excessivo
- Implante no incisivo central com perda óssea associada
- Conduta multidisciplinar com enxertos e reabilitação
- Importância da base biológica para resultados duradouros
Ortodontia finalizada, mas desafios persistem
Mesmo após um tratamento ortodôntico bem executado, alguns pacientes apresentam espaços entre dentes anteriores, retração gengival e perda óssea. No caso apresentado, o incisivo central direito necessitou de implante com abordagem multidisciplinar para tratar a perda tissular e devolver harmonia ao sorriso.
O que torna o tratamento mais complexo?
Quando há retração gengival e perda de osso, apenas fechar os espaços não resolve. É preciso atuar sobre o biotipo gengival, espessura óssea e arquitetura do sorriso. Neste caso:
- Foi realizado enxerto gengival para recuperar contorno e volume;
- Houve necessidade de enxerto ósseo para estabilidade e suporte ao implante;
- As coroas foram desenhadas para mimetizar forma e anatomia naturais;
- A gengiva alcançou uniformidade e saúde visível no resultado final.
Diagnóstico especializado faz diferença
Casos como este mostram a importância de um olhar integrado: não basta alinhar dentes se o tecido de suporte não estiver em condições ideais. A base biológica é essencial para manter estética e função a longo prazo.
Resumo
- Espaçamento após ortodontia pode indicar perda de suporte tissular
- Implante com enxertos foi essencial no incisivo central direito
- Gengiva retraída foi tratada para recuperar estética
- Coroas foram planejadas com forma natural e integração gengival
- Diagnóstico e conduta multidisciplinar foram chave para o sucesso
Quer restaurar seu sorriso de forma segura e equilibrada?
Agende uma avaliação multidisciplinar e descubra como alinhar estética, gengiva e estrutura óssea para um resultado duradouro e personalizado.






